Last month I broke my wrist. I’d like to say I broke it snowboarding and doing 360’s or fighting off martial artists, but you probably know me better than that. I was walking in the parking lot, slipped on the ice, and put out my hand to catch myself. I’ve lived in Rexburg for over 30 years and slipped on ice numerous times, but this is the first time I’ve broken a bone here.
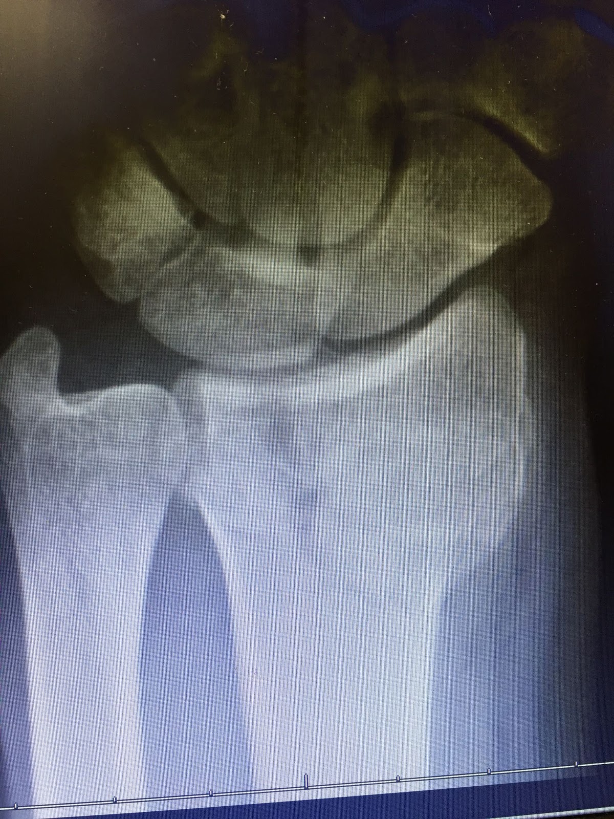
The attending physician looked at the x-rays and pronounced it broken—in a few pieces. He said I would likely need to have pins, screws, or plates installed. He gave me a prescription for a narcotic and sent me home.
The next morning I had an appointment with the orthopedic surgeon. He took more x-rays and said he thought he could put the bones in place and cast it, thus avoiding surgery. I readily agreed. He told me to clench my jaw, then he twisted and tugged a bit while I yelled in pain. But at least I didn’t have to go under the knife.
So I ended up in a cast for several weeks.
When this initially happened, I thought about how inconvenient it would be to live one-handed. My thought was, “Why me?” Didn’t God know how much I had on my plate? This could really cramp my style!
But then I remembered that the “why” questions are pretty useless. Instead, I asked, “What is God trying to teach me through this?” And there are at least the following two things I’ve learned through it.
It’s OK to ask for help.
I tend to be quite self-sufficient and I’ve viewed asking for help as an indication that I’m less capable. But it’s really hard to do some things with one hand: button up my shirt (especially the top button), put on a tie, put on my seatbelt, open a bag of tortilla chips, slice a tomato, unscrew the lids on so many containers, shave, change a lightbulb, type on a keyboard, etc. Plus, I’m not supposed to get the cast wet, so I can’t do dishes. And I have to put it in a plastic bag when I take a shower. All of this means I have to ask others for help. Part of the challenge is that I don’t want to impose on others, because I know we are all busy and have our own things to do. But the other part of it is a pride issue.
When I’m doing things with one hand, everything seems to take so much longer. Which brings me to the second thing I’ve learned.
It’s good to slow down.
I’m the type of person who is always trying to be productive and efficient. Always trying to get more done. I like it if I can “kill two birds with one stone.” Hey, why not three … or more? I’m quite impatient. Let’s get this wrist thing out of the way and over with so I can get on with life.
“Be still and know that I am God,” the Lord entreats. So I’ve taken a bit of time off work. And I have to be careful not to lift or pull. This means I’ve often needed to just sit still and keep my wrist elevated. I’ve discovered mindfulness/meditation. I’m learning to live in the moment. I can just be conscious of the world around me, and not be always planning what I’m going to do next. I can sit and visit with someone.
These two concepts are at odds with my past perfectionistic way of life. But the change feels good. It actually feels like I’m being more productive, while being less productive—if that makes sense. I’m learning some great things, while taking it easy.
To be continued . . . with Part 14.

